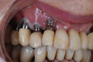
Όλο και πιο συχνά τον τελευταίο καιρό επισκέπτονται το ιατρείο μου ασθενείς που παραπονιούνται για πόνο ,οίδημα και πολλές φορές κινητικότητα σε κατασκευές που είχαν φτιάξει πριν χρόνια πάνω σε οδοντικά εμφυτεύματα τιτανίου. 

Τα εμφυτεύματα από τιτάνιο εγκρίθηκαν το 1978 από την Οδοντιατρική Κοινότητα και η χρήση τους στις ΗΠΑ ξεκίνησε το 1982. Τα τελευταία χρόνια το πιο συχνό φαινόμενο που συναντάμε στην καθημερινότητα μας στον χώρο του ιατρείου μας, είναι η φλεγμονή των ούλων που περιβάλλουν τα εμφυτεύματα αυτά , όπως ακριβώς και με την ουλίτιδα και περιοδοντίτιδα γύρω από τα φυσικά δόντια. Σπάνια αυτό αντιμετωπίζεται άμεσα από τον ασθενή και αυτό έχει αποτέλεσμα τα μικρόβια του στόματος να συσσωρεύονται γύρω από το εμφύτευμα προκαλώντας φλεγμονή. Αυτή η φλεγμονή μπορεί να εξελιχθεί και να προσβάλλει το κόκκαλο που τα στηρίζει .Έτσι ο ασθενής αρχίζει να παραπονιέται για πόνο ,οίδημα και πιθανών κινητικότητα ολόκληρης της προσθετικής κατασκευής που στηρίζεται σε αυτά τα εμφυτεύματα τιτανίου.
Αυτό ονομάζεται περιεμφυτευματίτιδα και αποτελεί το 25% των επισκέψεων από νέους ασθενείς μας τα τελευταία χρόνια .

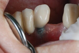
Η περιεμφυτευματίτιδα έχει πολλές ομοιότητες με την περιοδοντίτιδα που προσβάλλει τα δόντια, με την διαφορά ότι εξελίσσεται πιο γρήγορα και οδηγεί σε απώλεια του εμφυτεύματος και πιθανή αλλοίωση του οστού που το στηρίζει.

Πολλές φορές αν αυτό το προλάβουμε σε αρχικό στάδιο προσπαθούμε με διάφορους τρόπους να βοηθήσουμε τους ιστούς στην περιοχή να αποστειρωθούν από κάθε μορφής μικρόβιο με σκοπό να αρχίσει η αναγέννηση των ιστών όσο το κάθε σώμα έχει την δυνατότητα να το κάνει , για να κρατήσουμε το εμφύτευμα όσο περισσότερο χρονικό διάστημα μπορούμε .
Η αντιμετώπιση της περιεμφυτευματίτιδας απαιτεί προσαρμοσμένες θεραπείες ανάλογα με τη σοβαρότητα και την εξέλιξη της ανά περίπτωση.
- Μηχανική απομάκρυνση του βιοφίλμ : Επαγγελματικός καθαρισμός και ειδικές τεχνικές απολύμανσης γύρω από το εμφύτευμα ,όπως χρήση όζοντος , ερυθριτόλης κ.α.
- Αντιβιοτική θεραπεία: Εφαρμογή τοπικών ή συστηματικών αντιβιοτικών για την καταπολέμηση της μικροβιακής μόλυνσης .
- Χειρουργικός καθαρισμός : Αφαίρεση των μολυσμένων ιστών και επεξεργασία της επιφάνειας του εμφυτεύματος.
- Ανάπλαση οστού και μαλακών ιστών : Χρήση μοσχεύματος είτε οστού είτε ούλων ανάλογα την ζημιά που έχει υποστεί η περιοχή.
5. Θεραπεία με leizer : Η χρήση του leizer σε αυτή την περίπτωση μας βοηθάει και να αποστειρώσουμε την περιοχή και να ενεργοποιήσουμε μηχανισμούς στον οργανισμό που βοηθάνε στην αναγέννηση των ιστών.
Η θεραπεία που θα επιλέξουμε εξαρτάται από τον βαθμό της βλάβης , τα κλινικά συμπτώματα και τους συνολικούς παράγοντες κινδύνου του ασθενούς τα οποία αξιολογούνται συνολικά.
Πολλές φορές χρειάζεται να βγάλουμε το εμφύτευμα που η μόλυνση έχει καταστρέψει το οστό που το στηρίζει , για να καθαρίσουμε την περιοχή και να την αποστειρώσουμε ώστε να μπορέσουμε να τοποθετήσουμε μόσχευμα οστικό με σκοπό να ξανά δημιουργηθεί στην περιοχή οστό και καταφέρουμε μελλοντικά να ξανά τοποθετήσουμε ένα καινούργιο εμφύτευμα.
.


Η επιφάνεια των εμφυτευμάτων που αφαιρούνται είναι πολύ μολυσμένη και αλλοιωμένη.

Και δυστυχώς το οστό πάντα έχει υποστεί πολύ μεγάλη αλλοίωση που ποτέ δεν ξέρουμε αν θα μπορέσει να διορθωθεί και με τον καιρό να αντικατασταθεί στην αρχική του μορφή.

Εδώ θα θέλαμε να σημειώσουμε πως τα τελευταία 12 χρόνια στο ιατρείο μας χρησιμοποιούμε ΜΟΝΟ κεραμικά εμφυτεύματα που προμηθευόμαστε από την εταιρεία zirkon medical- patent όπου έρευνες και επίσημες μελέτες από μεγάλα πανεπιστήμια στην Γερμανία καθώς και ιδιωτικά ιατρεία σε Ελβετία , Γερμανία , Γαλλία , Αυστρία κ.α. αλλά και στην Ελλάδα έχουν αποδείξει επίσημα πως δεν έχει εμφανίσει περιεμφυτευματίτιδα και δεν μπορεί να προσκολλήσει μικρόβια στην επιφάνεια του.
