Μήνας: Ιούνιος 2025

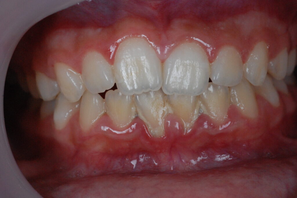
ΟΥΛΙΤΙΔΑ…Τι κινδύνους κρύβει;;;;

  Η ουλίτιδα είναι ένα πρώιμο στάδιο ασθένειας των ούλων που μπορεί να επηρεάσει άμεσα τη στοματική και τη γενικότερη υγεία . Γι’ αυτό είναι πολύ σημαντικό να γνωρίζουμε την πορεία της , δηλαδή τους κινδύνους κυρίως που κρύβονται πίσω από έναν απλό -θεωρητικά ερεθισμό των ούλων. Τα σημάδια που πρέπει να μας ανησυχούν είναι * Πρησμένα ούλα που αιμορραγούν […]