Μήνας: Ιανουάριος 2025

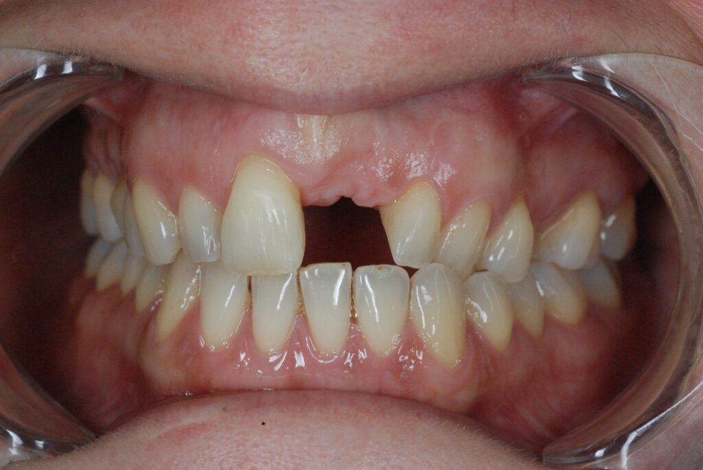
ΑΠΩΛΕΙΑ ΔΟΝΤΙΟΥ

  Υπάρχουν πολλοί λόγοι για την απώλεια δοντιού και μερικές φορές συσσωρεύονται στο ίδιο άτομο , γεγονός που αυξάνει τον κίνδυνο νωδότητας. Ως παιδί η απώλεια ενός δοντιού είναι η μετάβαση στην ενήλικη ζωή , ως ενήλικας όμως είναι μια οδυνηρή και μη αναστρέψιμη διαδικασία με μακροχρόνιες συνέπειες για την αισθητική και λειτουργική ικανότητα , ακόμα και για την αυτοπεποίθηση […]