Η τοποθέτηση ενός εμφυτεύματος ζιρκονίας με την χρήση χειρουργικού νάρθηκα – κατευθυνόμενη χειρουργική αποτελεί μια επαναστατική προσέγγιση , συνδυάζοντας την τεχνογνωσία του χειρουργού με την ακρίβεια και την αποτελεσματικότητα της τεχνολογίας , με σκοπό την ελαχιστοποίηση του τραύματος και την επιτάχυνση της διαδικασίας επούλωσης.

Για να ξεκινήσει η διαδικασία , χρειάζεται μια λεπτομερή αξιολόγηση της περιοχής που θα τοποθετηθούν τα εμφυτεύματα καθώς και της στοματικής κοιλότητας του ασθενούς συνολικά . Λαμβάνονται ψηφιακές ακτινογραφίες και τρισδιάστατες εικόνες της γνάθου , προκειμένου να αποκτήσουμε πλήρη εικόνα της ανατομίας της περιοχής και να σχεδιάσουμε με ακρίβεια την τοποθέτηση των εμφυτευμάτων αλλά και των δοντιών που πρόκειται να τοποθετηθούν πάνω σε αυτά .

Με βάση τα ψηφιακά δεδομένα , κατασκευάζεται ένας εξατομικευμένος χειρουργικός νάρθηκας , ο οποίος θα καθοδηγήσει το κατευθυνόμενο σύστημα και θα κλειδώσει το χέρι μας σε μια συγκεκριμένη θέση η οποία είναι η ιδανική σύμφωνα με τον ψηφιακό σχεδιασμό.
Ο οδηγός αποστέλλεται σε εξειδικευμένο εργαστήριο στις Βρυξέλλες , όπου σχεδιάζεται με υψηλή ακρίβεια και εκτυπώνεται ψηφιακά σε εργαστήριο στην Ελλάδα από εκπαιδευμένο προσωπικό.
Κατά την διάρκεια της επέμβασης , ο χειρουργικός νάρθηκας κουμπώνει στο στόμα του ασθενούς , εξασφαλίζοντας την ακριβή φορά , θέση και βάθος εισόδου των εμφυτευμάτων.
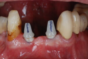
Έτσι τα εμφυτεύματα τοποθετούνται με απόλυτη ακρίβεια , ελαχιστοποιώντας το τραύμα στους περιβάλλοντες ιστούς .

Κατά την διάρκεια της επέμβασης ο ασθενής δεν ταλαιπωρείται καθόλου αφού πρακτικά η μόνη δυσκολία είναι να κρατάει ανοιχτό το στόμα του για να μπορεί να μπαίνει με ευκολία ο οδηγός .

Μετά την τοποθέτηση των εμφυτευμάτων , ακολουθεί μια περίοδο επούλωσης , κατά την οποία τα εμφυτεύματα ενσωματώνονται στο οστό , μια διαδικασία που ονομάζεται οστεοενσωμάτωση . Το χρονικό διάστημα που χρειάζεται να περιμένουμε είναι τρείς με τέσσερις μήνες .

Η τοποθέτηση εμφυτευμάτων με την χρήση του χειρουργικού νάρθηκα μας προσφέρει
- ΑΚΡΙΒΕΙΑ : εξασφαλίζοντας βέλτιστη λειτουργικότητα και αισθητική.
- ΕΛΑΧΙΣΤΗ ΠΑΡΕΜΒΑΣΗ : αφού στις περισσότερες περιπτώσεις ελαχιστοποιεί την ανάγκη για τομές και ράμματα μειώνοντας τον πόνο και τον χρόνο ανάρρωσης .
- ΤΑΧΥΤΗΤΑ : ο χρόνος που χρειάζεται για να ολοκληρωθεί η επέμβαση μειώνεται στο μισό και παραπάνω.
- ΠΡΟΒΛΕΨΙΜΟΤΗΤΑ: μπορεί να σχεδιαστεί η ακριβή θέση ,κλίση και μέγεθος των δοντιών που θα κολλήσουμε πάνω.
- ΑΣΦΑΛΕΙΑ : εξασφαλίζει απόσταση ασφαλείας από δομές που δεν θέλουμε να πειραχτούν , όπως το κεντρικό νεύρο κ.α.